34

Έμφραξη Ρητίνης (Σφράγισμα)

Διαδικασία αποκατάστασης δοντιού που έχει υποστεί τις συνέπειες της τερηδόνας . Σκοπός είναι η πλήρης αφαίρεση του τερηδονισμένου ιστού χωρίς την αποκοπή υγιούς οδοντικού ιστού . Ο χρόνος της διαδικασίας εξαρτάται από το μέγεθος της βλάβης , είναι τελείως ανώδυνη . Τα σφραγίσματα στο ιατρείο μας γίνονται με συνθέτη ρητίνη ώστε να αποδωθεί το κατάλληλο αισθητικό αποτέλεσμα .

Έμφραξη Ρητίνης (Σφράγισμα)

Διαδικασία αποκατάστασης δοντιού που έχει υποστεί τις συνέπειες της τερηδόνας . Σκοπός είναι η πλήρης αφαίρεση του τερηδονισμένου ιστού χωρίς την αποκοπή υγιούς οδοντικού ιστού . Ο χρόνος της διαδικασίας εξαρτάται από το μέγεθος της βλάβης , είναι τελείως ανώδυνη . Τα σφραγίσματα στο ιατρείο μας γίνονται με συνθέτη ρητίνη ώστε να αποδωθεί το κατάλληλο αισθητικό αποτέλεσμα .

Έμφραξη Ρητίνης (Σφράγισμα)

Διαδικασία αποκατάστασης δοντιού που έχει υποστεί τις συνέπειες της τερηδόνας . Σκοπός είναι η πλήρης αφαίρεση του τερηδονισμένου ιστού χωρίς την αποκοπή υγιούς οδοντικού ιστού . Ο χρόνος της διαδικασίας εξαρτάται από το μέγεθος της βλάβης , είναι τελείως ανώδυνη . Τα σφραγίσματα στο ιατρείο μας γίνονται με συνθέτη ρητίνη ώστε να αποδωθεί το κατάλληλο αισθητικό αποτέλεσμα .

1516

Έμφραξη Ρητίνης (Σφράγισμα)

Διαδικασία αποκατάστασης δοντιού που έχει υποστεί τις συνέπειες της τερηδόνας . Σκοπός είναι η πλήρης αφαίρεση του τερηδονισμένου ιστού χωρίς την αποκοπή υγιούς οδοντικού ιστού . Ο χρόνος της διαδικασίας εξαρτάται από το μέγεθος της βλάβης , είναι τελείως ανώδυνη . Τα σφραγίσματα στο ιατρείο μας γίνονται με συνθέτη ρητίνη ώστε να αποδωθεί το κατάλληλο αισθητικό αποτέλεσμα .

1920

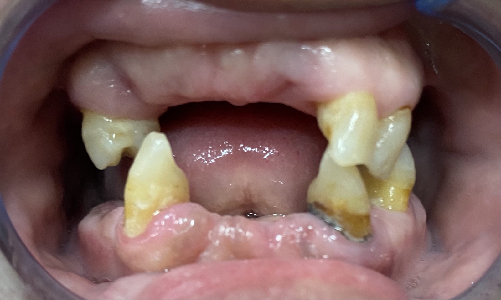
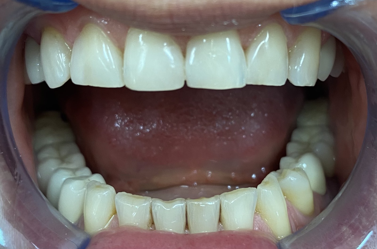
Μερικές Οδοντοστοιχίες

Οι μερικές οδοντοστοιχίες είναι κινητές αποκαταστάσεις οι οποίες αντικαθιστούν δόντια που έχουν χαθεί. Η αποκατάσταση διαρκεί 2-3 εβδομάδες.

Μερικές Οδοντοστοιχίες

Οι μερικές οδοντοστοιχίες είναι κινητές αποκαταστάσεις οι οποίες αντικαθιστούν δόντια που έχουν χαθεί. Η αποκατάσταση διαρκεί 2-3 εβδομάδες.

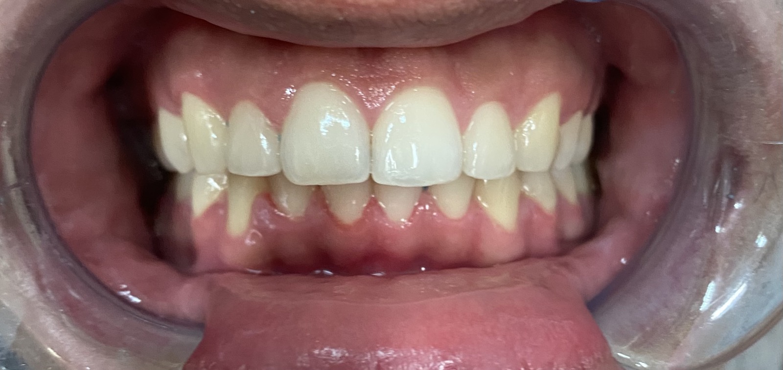
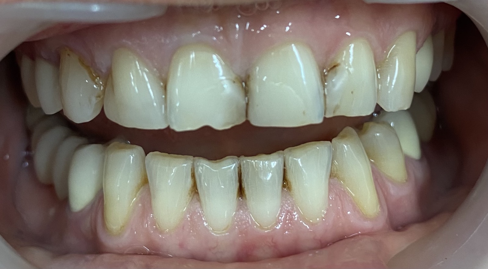
Καθαρισμός Τρύγιας (Πέτρας)

Διαδικασία κατά την οποία απομακρύνεται η οδοντική πλάκα και η τρυγία ( πέτρα ) από τα δόντια . Συνίσταται η επανάληψη 1-2 φορές τον χρόνο για την αποφυγή ουλίτιδας και περιοδοντίτιδας . Στο συγκεκριμένο περιστατικό χρησιμοποιήθηκε piezoelectronic .

56

Καθαρισμός Τρύγιας (Πέτρας)

Διαδικασία κατά την οποία απομακρύνεται η οδοντική πλάκα και η τρυγία ( πέτρα ) από τα δόντια . Συνίσταται η επανάληψη 1-2 φορές τον χρόνο για την αποφυγή ουλίτιδας και περιοδοντίτιδας . Στο συγκεκριμένο περιστατικό χρησιμοποιήθηκε piezoelectronic .

12

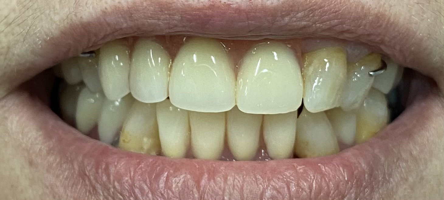
Λεύκανση

Διαδικασία για την βελτίωση χρώματος των δοντιών του ασθενούς . Εφαρμόζεται ειδική λευκαντική ουσία σε μορφή ζελέ απελευθερώνοντας οξυγόνο και μετέπειτα εξουδετερώνοντας τις χρωστικές ( οι οποίες είναι υπεύθυνες για τον αποχρωματισμό ) χωρίς την φθορά των δοντιών . Η διαδικασία διαρκή περίπου μια ώρα χαρίζοντάς σας ένα λαμπερές και φωτεινό χαμόγελο .

Λεύκανση

Διαδικασία για την βελτίωση χρώματος των δοντιών του ασθενούς . Εφαρμόζεται ειδική λευκαντική ουσία σε μορφή ζελέ απελευθερώνοντας οξυγόνο και μετέπειτα εξουδετερώνοντας τις χρωστικές ( οι οποίες είναι υπεύθυνες για τον αποχρωματισμό ) χωρίς την φθορά των δοντιών . Η διαδικασία διαρκή περίπου μια ώρα χαρίζοντάς σας ένα λαμπερές και φωτεινό χαμόγελο .

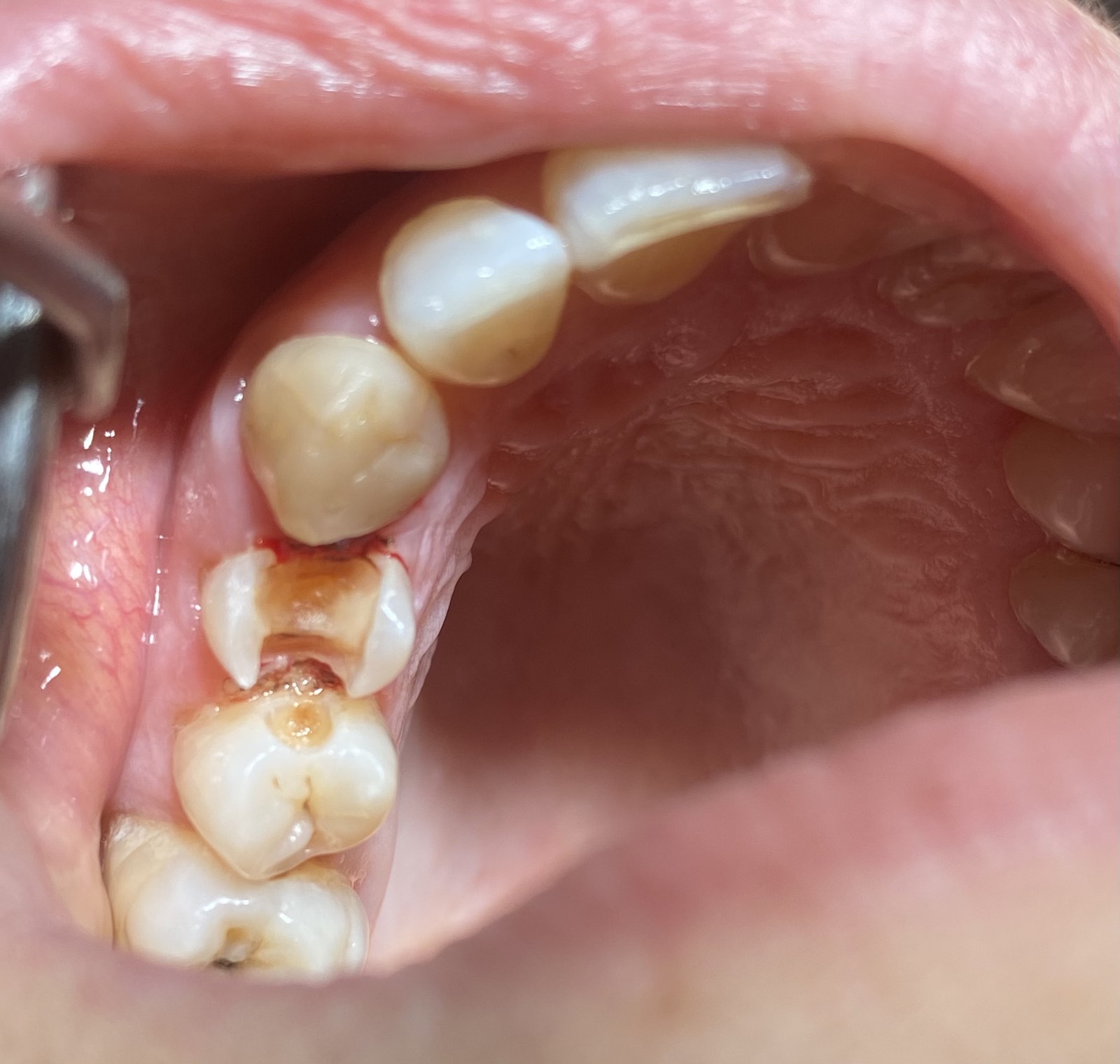
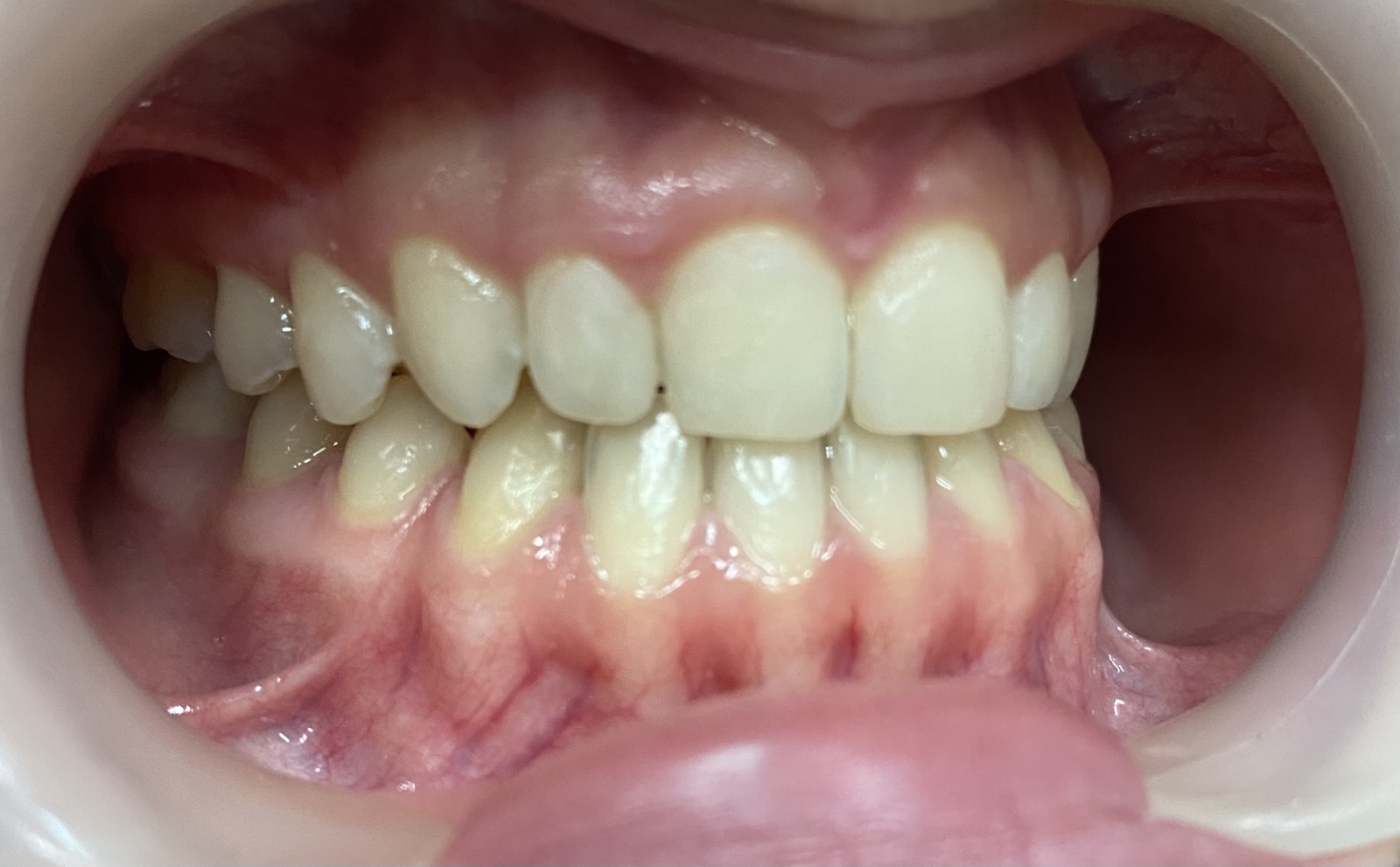
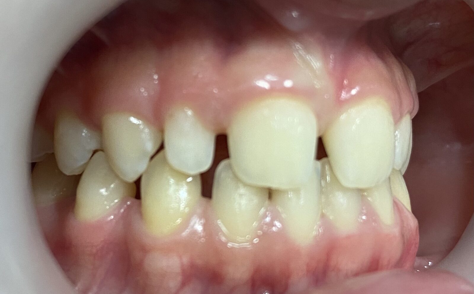
Ανασύσταση δοντιού

Διαδικασία αναδιαμόρφωσης δοντιού , για αισθητικούς ή θεραπευτικούς λόγους . Στην συγκεκριμένη περίπτωση η τερηδόνα είχε εισχωρήσει στους οδοντικούς ιστούς με αποτέλεσμα την καταστροφή του . Προηγήθηκε ενδοδοντική θεραπεία και έπειτα ακολούθησε το ‘’χτίσιμο’’με συνθέτη ρητίνη .

Ανασύσταση δοντιού

Διαδικασία αναδιαμόρφωσης δοντιού , για αισθητικούς ή θεραπευτικούς λόγους . Στην συγκεκριμένη περίπτωση η τερηδόνα είχε εισχωρήσει στους οδοντικούς ιστούς με αποτέλεσμα την καταστροφή του . Προηγήθηκε ενδοδοντική θεραπεία και έπειτα ακολούθησε το ‘’χτίσιμο’’με συνθέτη ρητίνη .

Ανασύσταση δοντιού

Διαδικασία αναδιαμόρφωσης δοντιού , για αισθητικούς ή θεραπευτικούς λόγους . Στην συγκεκριμένη περίπτωση η τερηδόνα είχε εισχωρήσει στους οδοντικούς ιστούς με αποτέλεσμα την καταστροφή του . Προηγήθηκε ενδοδοντική θεραπεία και έπειτα ακολούθησε το ‘’χτίσιμο’’με συνθέτη ρητίνη .

Ανασύσταση δοντιού

Διαδικασία αναδιαμόρφωσης δοντιού , για αισθητικούς ή θεραπευτικούς λόγους . Στην συγκεκριμένη περίπτωση η τερηδόνα είχε εισχωρήσει στους οδοντικούς ιστούς με αποτέλεσμα την καταστροφή του . Προηγήθηκε ενδοδοντική θεραπεία και έπειτα ακολούθησε το ‘’χτίσιμο’’με συνθέτη ρητίνη .

Fastbraces (διάρκεια 6 μήνες)

Η Fastbraces ορθοδοντική τεχνολογία προσφέρει στους ασθενείς ίσια δόντια πολύ γρήγορα, χωρίς εξαγωγές σχεδόν σε όλες τις περιπτώσεις, χρησιμοποιώντας την τεχνολογία, ώστε να μειωθεί το συνολικό κόστος της θεραπείας.
Οι ασθενείς μπορούν τώρα να έχουν αποτελέσματα συχνά με μικρότερη ευαισθησία και σε χρόνο που κυμαίνεται από τρεις μήνες έως ένα έτος στο 80% των περιπτώσεων.

Fastbraces (διάρκεια 6 μήνες)

Η Fastbraces ορθοδοντική τεχνολογία προσφέρει στους ασθενείς ίσια δόντια πολύ γρήγορα, χωρίς εξαγωγές σχεδόν σε όλες τις περιπτώσεις, χρησιμοποιώντας την τεχνολογία, ώστε να μειωθεί το συνολικό κόστος της θεραπείας.
Οι ασθενείς μπορούν τώρα να έχουν αποτελέσματα συχνά με μικρότερη ευαισθησία και σε χρόνο που κυμαίνεται από τρεις μήνες έως ένα έτος στο 80% των περιπτώσεων.

Fastbraces (διάρκεια 9 μήνες)

Η Fastbraces ορθοδοντική τεχνολογία προσφέρει στους ασθενείς ίσια δόντια πολύ γρήγορα, χωρίς εξαγωγές σχεδόν σε όλες τις περιπτώσεις, χρησιμοποιώντας την τεχνολογία, ώστε να μειωθεί το συνολικό κόστος της θεραπείας.
Οι ασθενείς μπορούν τώρα να έχουν αποτελέσματα συχνά με μικρότερη ευαισθησία και σε χρόνο που κυμαίνεται από τρεις μήνες έως ένα έτος στο 80% των περιπτώσεων.

Fastbraces (διάρκεια 9 μήνες)

Η Fastbraces ορθοδοντική τεχνολογία προσφέρει στους ασθενείς ίσια δόντια πολύ γρήγορα, χωρίς εξαγωγές σχεδόν σε όλες τις περιπτώσεις, χρησιμοποιώντας την τεχνολογία, ώστε να μειωθεί το συνολικό κόστος της θεραπείας.
Οι ασθενείς μπορούν τώρα να έχουν αποτελέσματα συχνά με μικρότερη ευαισθησία και σε χρόνο που κυμαίνεται από τρεις μήνες έως ένα έτος στο 80% των περιπτώσεων.

Αφαίρεση Χρωστικών

78

Αφαίρεση Χρωστικών